Duur
60-90 minuten
Voor wie
Volwassenen
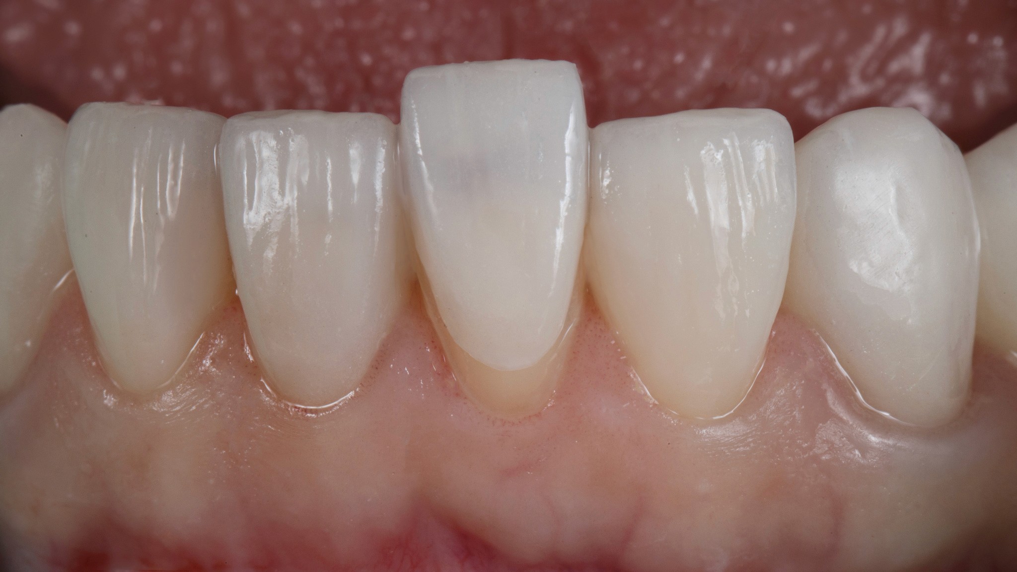
Wat zijn facings?
Facings zijn dunne laagjes materiaal die op de voorzijde van de tanden worden geplaatst om esthetische verbeteringen te realiseren. Ze worden vaak gebruikt om de tanden mooier te maken door bijvoorbeeld spleetjes te dichten, verkleuringen te verbergen, scheve tanden te corrigeren of kleine beschadigingen te repareren. In onze praktijk in Amsterdam Zuid werken we met verschillende materialen, voornamelijk porselein en composiet.
Porseleinen Facings
• Duurzaamheid: Porseleinen facings gaan lang mee.
• Kleurvast: Ze verkleuren niet in de loop der tijd.
• Natuurlijke uitstraling: Ze bieden een zeer realistische en esthetisch aangename look.
• Kosten: Porseleinen facings kosten +/- €1000 per tand.
Behandeling: Deze facings worden in twee afspraken geplaatst in onze tandartspraktijk in Amsterdam Zuid. Tijdens de eerste afspraak wordt een afdruk van uw tanden genomen en de facings ontworpen. Bij de tweede afspraak worden de facings permanent geplaatst.
Composiet Facings
• Kostenefficiënt: Composiet facings zijn betaalbaarder dan porseleinen facings.
• Minimaal invasief: Ze vereisen minder aanpassing van uw natuurlijke tanden.
• Reparatiegemak: Ze zijn eenvoudig en snel te repareren.
• Snelheid: Ze kunnen vaak in één afspraak geplaatst worden.
• Kosten: Porseleinen facings kosten +/- €200 per tand.
Behandeling: Composiet facings kunnen in slechts één afspraak worden geplaatst in onze tandartspraktijk in Amsterdam Zuid. Tijdens deze afspraak wordt het composiet direct op de tanden aangebracht en in de gewenste vorm gebracht. Daarna wordt het uitgehard en gepolijst om een natuurlijke uitstraling te geven.
Onze aanpak
Bij elke facingbehandeling staat een persoonlijk consult centraal, waarin uw wensen en de mogelijkheden uitgebreid worden besproken. We zorgen ervoor dat de facings nauwkeurig worden aangemeten zodat ze perfect passen en natuurlijk ogen. Ons team in Amsterdam Zuid zorgt ervoor dat de kleur en vorm van de facings harmonieus aansluiten bij uw natuurlijke tanden, voor een stralende glimlach die uw zelfvertrouwen versterkt.
"Overweegt u facings of heeft u vragen over de procedure? Onze medewerkers helpen u graag verder en begeleiden u naar de glimlach die u verdient. Wij zijn ervan overtuigd dat u onze praktijk in Amsterdam Zuid zult verlaten met een glimlach die niet alleen mooi, maar ook natuurlijk aanvoelt."




















